Why Wisdom Teeth Sometimes Need To Be Removed

Wisdom teeth, also known as third molars, are the last set of teeth to develop in the back of our mouths. For some people, these teeth come in without any problems. However, for many others, wisdom teeth can cause various issues. They may grow in crooked, not fully emerge from the gums, or crowd the other teeth, leading to pain and dental problems. This is why wisdom teeth often need to be removed. Understanding the reasons behind wisdom teeth removal can help us take better care of our dental health.

Where do Wisdom Teeth Get Their Name From?

Wisdom teeth get their name because they come in last, when you’re older and wiser. However, these teeth start forming long before they actually appear, so it’s important to check and remove them at the right time if any problems occur. The age at which wisdom teeth develop varies from person to person. Since removal depends on their development and not your age, you might need a detailed evaluation as early as 12 years old or as late as 16.

Some Problems Causes by Wisdom Teeth

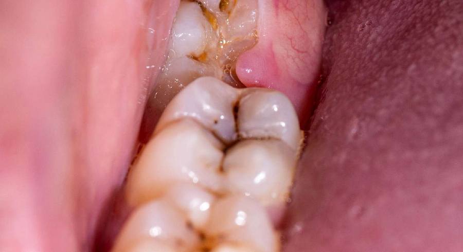
Dealing with pain, swelling, and discomfort from wisdom teeth is no fun. If your adult molars block these late bloomers, they can get stuck, leading to chronic swelling, discomfort, and pain.

Infections are another common problem. Sometimes wisdom teeth only partially emerge and then stop because there’s no more room. This can inflame the surrounding skin, causing infections that lead to swelling, stiffness, and even illness. If these infections spread, they can become quite serious.

Loss of neighboring teeth can also occur. When gums can’t seal around the molars in front of wisdom teeth, bacteria can sneak under the gum line, causing root cavities or eroding the bone between teeth. This can lead to losing the tooth next to your wisdom tooth.

Like many other reasons, wisdom teeth can cause crooked teeth, too. If wisdom teeth do emerge, they often do so by pushing other teeth out of place, which can crowd your mouth and shift your teeth’s natural position. This not only changes your smile but can also affect your bite and make your teeth and gums more vulnerable to bacteria build-up, leading to gingivitis.

What Problems Can Late Removal Cause?

Late removal of wisdom teeth can increase the risk of complications we listed above. If the roots fully develop before removal, the risk of nerve injury during extraction is higher. Timing is crucial to remove wisdom teeth before their roots are fully developed.

The good news is that you can avoid most of these problems by having your wisdom teeth removed at the right time. However, if you’ve recently had other dental procedures like teeth whitening, it might be best to wait before taking immediate action on your wisdom teeth to ensure the best outcome for all your dental care.

Wisdom Tooth Removal Surgery

If you’ve been told you need to get your wisdom teeth removed, don’t worry, it’s a very common dental treatment! Most people don’t have enough room in their mouths for these late teeth to come in properly. In fact, only a tiny percentage of us can keep our wisdom teeth without needing them pulled. For the other 85%, removing wisdom teeth is necessary to avoid pain, infections, damage to nearby teeth, cysts, tumors, and other uncomfortable issues. Plus, it helps keep the rest of our teeth nicely aligned.

EsooJjIovv34fUAOsHuWfWPADDzkaBdu4YMgXiY4

For many, getting wisdom teeth removed is their first surgery. But there’s no need to stress, our skilled oral surgeons are great at their job, making sure your experience is as smooth as possible. Most of the time, you’ll be asleep during the procedure, and thanks to the latest techniques, it’s quick and recovery is faster than you might expect. So, if you’ve got a wisdom teeth removal on your calendar, know that you’re in good hands!

Symptoms You Should Watch About Your Wisdom Teeth

If you’re experiencing issues with your wisdom teeth, it’s important to pay attention to certain symptoms. Here are some signs that you might need to see an oral surgeon:

·       Pain, swelling, or discomfort behind your molars,

·       Tenderness or redness around the area where your wisdom teeth are coming in,

·       Unusual bad breath that doesn’t go away with brushing or mouthwash,

·       Stiffness in your jaw that makes it hard to open or close your mouth,

·       Infections around the wisdom teeth area,

·       Pain or problems with nearby teeth, especially those next to your wisdom teeth,

·       Complications with orthodontic treatments aimed at straightening your other teeth,

·       Development of cysts or tumors below the wisdom teeth.

XfAFIebOZ3BEVDJdI4KGffT5nXdYpiYTu11SZMoQ

How Does Wisdom Tooth Removal Procedure Go?

Getting your wisdom teeth removed might sound intimidating, especially if you haven’t had much dental or medical work done before. Complications are rare as long as you follow your doctor’s post-surgery instructions, and any issues that do arise can be managed.

If your wisdom teeth are taken out at the right time, they are likely still unerupted or impacted, meaning they haven’t broken through the gums. After the extraction, you’ll need a few days to recover, with complete healing taking a couple of weeks. Your surgeon will explain what to expect during your consultation.

Wisdom Tooth Removal Post-surgery

Your surgeon will provide detailed instructions for taking care of yourself after the surgery. This will include recommendations on activity level, diet, and hydration, as well as how to care for the surgical area. Following these instructions closely will help ensure a smooth recovery. Once you have healed, you’ll enjoy a healthier, more comfortable mouth.

Nach oben scrollen